Our Blogs

All Services Include: Emergency tooth Extractions Wisdom tooth removal Tooth pain relief Dental Infections treatment Broken tooth repair Fillings and crowns Root canal Therapy Oral surgery Bridges Dentures Dental implants Gum disease treatement Knocked out tooth repair

Severe Toothaches & Tooth Pain

Dental Abscesses & Infections

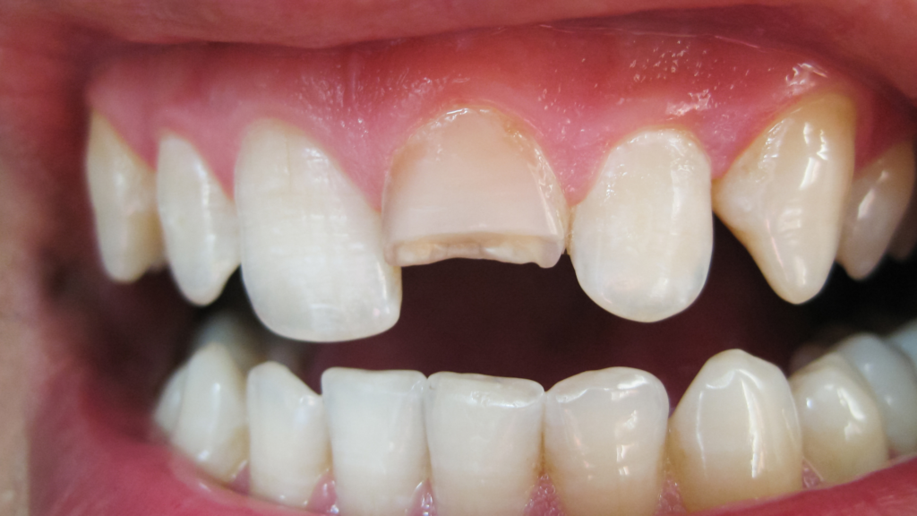
Broken, Chipped, or Cracked Teeth

Lost Fillings or Crowns

Root Canal Therapy

Oral Surgery

Crowns & Bridges

Dentures (Full & Partial)

Dental Implants

Periodontal (Gum Disease) Treatment

Knocked Out Tooth

We’re here when you need us most.

Call us or book an appointment online to get fast, gentle emergency care.